Примеры технических отчетов

Компьютерная томография ангиография брахиоцефальных артерий

Скачать отчет (vascular segmentation)

КТ шейного отдела позвоночника

Скачать отчет (spinal module)

CT scan of the cervical spine

Download report (spinal module)

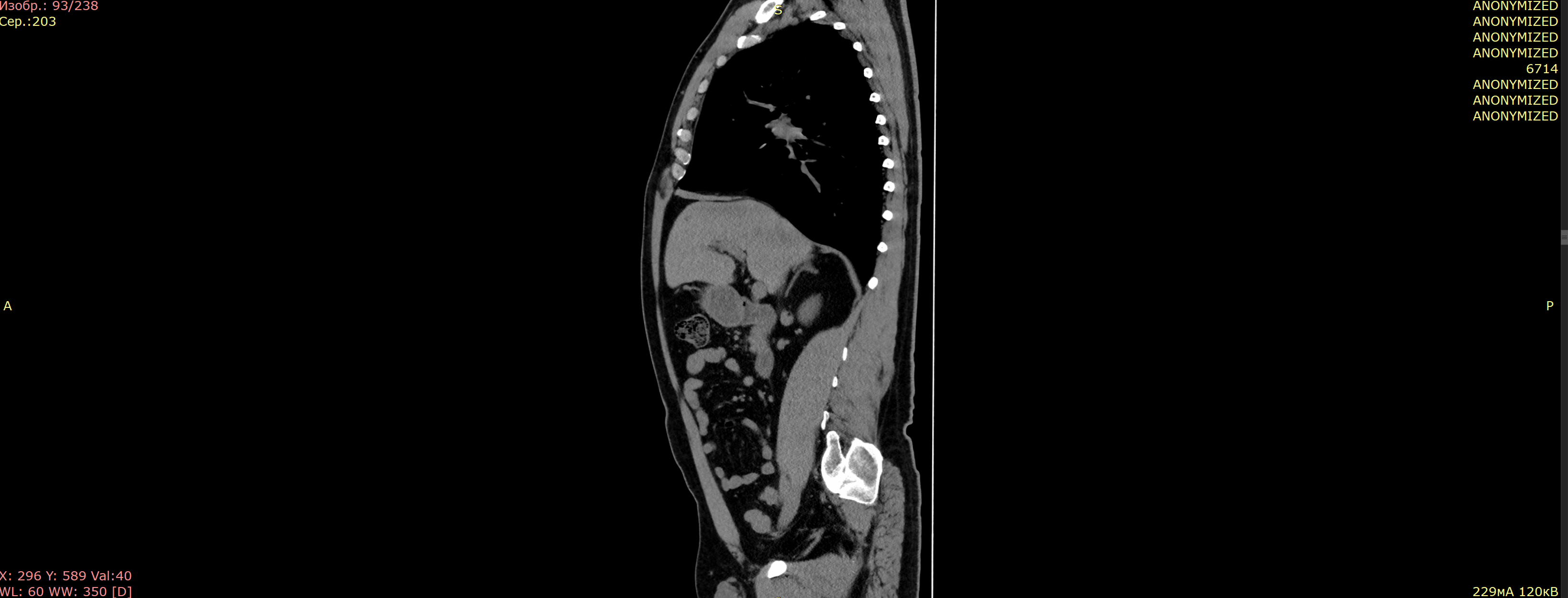
Компьютерная томография органов брюшной полости

Скачать отчет (oncological segmentation)

Результат анонимизации DICOM

🖼️ Пример анонимизированного файла

Пример анонимизации DICOM

Все персональные данные заменены на "ANONYMIZED"

📋 Что мы видим после анонимизации:

Patient's Name: ANONYMIZED

Patient ID: ANONYMIZED

Patient's Birth Date: ANONYMIZED

Institution Name: ANONYMIZED

Referring Physician: ANONYMIZED

Study Description: ANONYMIZED

Series Description: ANONYMIZED

Operators' Name: ANONYMIZED

Patient's Address: ANONYMIZED

Patient's Telephone: ANONYMIZED

Все персональные данные полностью удалены. Идентификация личности невозможна.

50+
тегов анонимизировано
100%
данных защищено

Как начать пользоваться платформой?

Шаг 1: Кликните на круглый значок ⚡R в правом верхнем углу.

Если вы еще не зарегистрированы:

  • Нажмите "Регистрация"
  • Заполните форму:
    • ✏️ Имя (или название организации)
    • 📧 Email (на него будут приходить отчеты)
    • 🔑 Придумайте пароль (минимум 6 символов)
  • Ознакомьтесь и поставьте галочки:
    • ✅ Я ознакомился и согласен с условиями Договора-оферты
    • ✅ Я принимаю условия Политики конфиденциальности
  • Нажмите «Зарегистрироваться»

Если вы уже зарегистрированы:

  • Введите свой Email
  • Введите пароль
  • Нажмите «Войти»

Как загрузить исследование на сайт?

Подготовка файлов:

  • Вставьте CD/DVD-диск или USB Flash в компьютер/ноутбук
  • Для телефона (Android) используйте переходник USB OTG
  • На экране появится содержимое носителя
  • Найдите папку с файлами в формате DICOM — именно она нам нужна

Загрузка на платформу:

  • Нажмите «Начать AI-анализ КТ» или выберите плитки с нужными исследованиями
  • Нажмите «Создать заказ»
  • Кликните на плитку с надписью «НАЖМИТЕ ДЛЯ ЗАГРУЗКИ»
  • В открывшемся окне найдите папку с DICOM файлами
  • Выберите папку
  • Нажмите «ЗАГРУЗИТЬ ВЫБРАННЫЕ ФАЙЛЫ»

Важно: Файлы загружаются автоматически, анонимизируются и формируется папка готовая для анализа.

Что происходит после загрузки?

После завершения загрузки файлов автоматически запускается процесс анализа:

🧠 AngioBaksel AI — анализ DICOM

Открывается модальное окно с прогрессом обработки:

📊 Этапы обработки:

  • 1️⃣ Анонимизация DICOM — автоматическое удаление персональных данных (ФИО, ID пациента, дата рождения)
  • 2️⃣ Загрузка на защищенный сервер — передача файлов в зашифрованном виде
  • 3️⃣ AngioBaksel AI анализ — мультимодальный анализ снимков (~3 минуты)
  • 4️⃣ Верификация техническим специалистом — проверка результатов
  • 5️⃣ Формирование отчета — создание PDF с результатами

⏱️ Время ожидания:

  • 🤖 AI анализ: ~3 минуты
  • 👨🔬 Проверка специалистом: до 24 часов
  • ⚠️ При высокой нагрузке на сервер: до 48 часов

Результат придет на Email, указанный при регистрации, и появится в личном кабинете.

Вы можете закрыть окно и продолжить работу — уведомление придет автоматически.

Где посмотреть результаты анализа?

Результаты доступны двумя способами:

  • 📧 По электронной почте: PDF-отчет придет на ваш Email
  • 👤 В личном кабинете: войдите в аккаунт и откройте раздел «Заказы»

В личном кабинете вы можете:

  • ✅ Скачать PDF отчет
  • 📊 Посмотреть статус заказа
  • 📋 Просмотреть историю всех анализов

Как защищены мои данные?

Мы гарантируем полную анонимность:

  • 🛡️ Все DICOM-файлы автоматически анонимизируются при загрузке
  • 🔍 Удаляются все теги с персональными данными (ФИО, дата рождения, данные клиники)
  • 🗑️ Файлы хранятся не более 24 часов, затем безвозвратно удаляются
  • ⚖️ Работаем в соответствии с ФЗ-152 «О персональных данных»
  • 🔒 Данные не передаются третьим лицам

Пример анонимизированного файла — смотрите выше в разделе "Результат анонимизации DICOM".

💬 Нужна помощь?

Наши специалисты всегда готовы ответить на ваши вопросы